|
Vermeidung
eines zahnärztlichen Notfalles auf einem Langtörn
von Dr. Gregor Walden
Dr. Gregor Walden,
geboren 1949, ist von Beruf Zahnarzt. Seine Spezialgebiete Oralchirurgie und
Implantalogie. Dr. Walden
begann mit 16 Jahren zu Segeln. Eigenverantwortlich war er als Skipper auf Yachten bis 54
Fuß und Katamaranen bis 40 Fuß. Seine bevorzugten Reviere sind die Türkei, Karibik, Spanien. Seglerische Weiterbildungen
erfolgte bei mehreren
Sicherheitstrainings vor Helgoland bei Konstantin Clavie mit Swan 43. Mit
Recht weist der erfahrene Hochseesegler darauf hin, dass zur Vorbereitung auf
Langtörns zwar häufig allgemeinmedizinische Kurse besucht werden, dass aber
gerade im Hinblick auf Zahnerkrankungen bei kaum einem Weltumsegler in spe eine
entsprechende Ausbildung erfolgt. Dabei gehört es doch zu den Albträumen
schlechthin in der Mitte eines Ozeans so starke Zahnschmerzen bekommt, dass man
gerne zum Zahnarzt gehen würde, wenn einer gerade greifbar wäre.
Auf
was ist vor der Fahrt zu achten?
Beim Lesen des Buches von Hans
Habeck „Mal sehen wie weit wir kommen“, berichtete der Autor, dass er von
starken Zahnschmerzen geplagt wurde und noch einige Tage auf See vor sich hatte.
Das hat mich angeregt, über die Möglichkeiten
der Vermeidung und der Therapie bei zahnärztlichen Notfällen
nachzudenken:
Es werden nämlich viele Kurse
über Erste Hilfe und akute Notfälle bis zur Operation unter Funkanleitung
angeboten, aber ich kenne keinen Bericht über zahnärztliche Notfälle.
Wer ist noch nicht von
starken Zahnschmerzen geplagt worden? Dabei ist für einen Segler der Gedanke
nahe, dass dies auf einem Ozeantörn in der Flaute passieren könnte ohne
Aussicht, in den nächsten Tagen einen Zahnarzt zu erreichen? Für jene, die
sich solche Gedanken machen, sind nachfolgende Ausführungen gedacht.
Welche Untersuchungen sollten
unbedingt vor dem Törn durchgeführt werden, und wie lange vorher?
Vor einem jahrelangen oder sei
es nur monatelangen geplanten Törn ist der Gang zum Zahnarzt unabdingbar. Der
Zahnarzt sollte aber auf das jeweilige Unternehmen hingewiesen werden, damit er
Probleme, die man vor Ort im Akutfall leicht beseitigen kann, erörtert werden.
Solche Probleme können andererseits auf hoher See leicht zu Komplikationen führen
könnten.
Zur Diagnostik sollte ein
sogenanntes Orthophantomogramm - das ist eine Aufnahme von beiden Kiefern -
erstellt werden. An Hand dessen kann eine Übersichtsdiagnose und bei Zweifel
durch eine oder mehrere Einzelaufnahmen eine genaue Diagnose gestellt werden.
Diese Aufnahmen sollten nicht älter als 1-2 Monate sein und mitgenommen werden.
Besonderes Augenmerk ist
hierbei auf Weißheitszähne zu legen. Aus diesem Grund sollte ein auch
chirurgisch tätiger Zahnarzt aufgesucht werden. Lassen Sie es mich ein bisschen
provokant sagen: Weißheitszähne haben auf
einer Langfahrtyacht nicht das Geringste verloren. Das wurde unlängst durch den
19-jährigen Johannes Erdmann demonstriert, der unmittelbar vor seiner
Atlantiküberquerung eigens wegen einer Weisheitszahnoperation zurück nach
Hamburg fliegen musste.
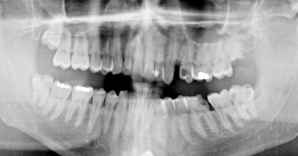
Auf
dem Röntgenbild sehen wir vier verlagerte Weißheitszähne, die auf Grund ihrer Lage als Problemfälle anzusehen sind. Speziell der obere linke Weißheitszahn
ist schon kariös sehr zerstört. In diesem Fall ist vor einer Langfahrt eine operative Entfernung sämtlicher Weißheitszähne durchzuführen.
Welche
Notfälle können auftreten?
Hier sind verschiedene Probleme
zu sehen, die bei einer Langzeitfahrt Komplikationen erwarten lassen. Diese
sollten vor der Reise abgeklärt und behoben werden. Wir gehen in unserer
Praxisklinik solch einen Fall in Narkose an, sodass nach ca. 8 Tagen die
Wundheilung in den meisten Fällen komplikationslos sich selbst überlassen
werden kann.
Es stellen vorwiegend die
verlagerten und halb durchgebrochenen Weißheitszähne die größte Gefahr dar.
Auf Grund des warmen und feuchten Milieus ist in diesen Ecken und Winkeln, die
der Reinigung nur schwer zugänglich sind, ist deshalb mit einer massiven
Bakterienvermehrung zu rechnen. Es kommt zu einer vermehrten Durchblutung und
letztlich zur Eiteransammlung in diesem Gebiet.
Ein weiteres akutes Problem können
wurzelgefüllte Zähne darstellen. Hier ist
besonderes Augenmerk auf die Wurzelfüllung und die Wurzelspitze zu legen. Geht
die Wurzelfüllung bis ca. 1mm vor die Wurzelspitze oder ist sie unvollständig
bzw. sehen wir an Ihr so genannte Aufhellungen so sollten diese unbedingt
chirurgisch beseitig werden.
Nach Füllungen mit ausgedehnter Karies könnte sich eine Nervreizung ergeben,
die eine Wurzelbehandlung bedingen würde.
Nach einer Extraktion könnte
eine so genannte trockene Alveole entstehen; das heißt die Wunde, wo der Zahn
gezogen wurde, ist nicht zugeblutet und die Knochenflächen liegen frei und entzünden
sich. Dies ist im Unterkiefer häufiger als
im Oberkiefer auf Grund des Speichels der das Blutkoagel mit dem im Speichel
vorhandenen Bakterien infizieren kann.
Selbst bei exakter Wurzelfüllung
können nach einer Behandlung Probleme wie Druckempfindlichkeit auftreten, die,
wenn sie nicht nach ca. 3 Wochen verschwunden sind, anders therapiert werden müssen.
Weitere Probleme seien
angedeutet: Haben Füllungen oder Inlays
Spalten? Sind einige Zähne auf warm oder
kalt empfindlich?
Kommen wir zum Zahnfleisch: Ein
gesundes Zahnfleisch ist für den Erhalt der Zähne von großer Bedeutung. Daher
sollte vor jeder Langfahrt und auch zwischen durch eine ausgiebige
Zahnreinigung evtl. Parodontosebehandlung durchgeführt werden.
Zahnfleischbluten sind erste Anzeichen von Erkrankung.
Wie viel Zeit sollte nach der
letzten zahnärztlichen Behandlung und dem Törn dazwischen liegen?
Wenn es sich um konservierende,
chirurgische oder prothetische Behandlungen handelt, ist der/die zukünftige
Weltumsegler/in mit einem Monat immer auf der sicheren Seite.
Klassifizierung von
Zahnerkrankungen
banal
Mundschleimhauterkrankung, so
genannte Aphten, sind kleine bläschenartige Veränderungen der Mundschleimhaut
die zwar schmerzhaft, aber von harmloser Natur sind. Sie verschwinden nach ca. 6
Tagen ohne Therapie.
Leichtes Zahnfleischbluten
ausgehend von zum Teil ungenügender Zahnpflege während der Zeit an Bord.
Ein Kind in meiner Praxis sagte
mir einmal auf die Frage nach der Zahnpflege: Normal gut aber zurzeit habe ich
Ferien. Im Bordalltag muss die Zahnpflege einen festen Platz einnehmen.
mittelschwer
Auf warm und kalt stärker
reagierender Zahn.
stärker
schmerzhaft/akut druckempfindlich - Aufbiss tut weh
Der Zahn ist auf kalt oder/und
warm äußerst empfindlich. Zahnfleisch oder
Schleimhautschwellung mit Spannungsgefühl und sichtbarer Schwellung der
entsprechenden Region. Spontanentleerung von Eiter.
Diagnose
Als Ursachen bei mittelschweren
und akuten Zahnerkrankungen können einmal freiliegende Zahnhälse als kleinere
Ursache, Sekundär-Karies unter alten Füllungen oder defekte Füllungen in
Frage kommen. Dies bedingt, dass, vereinfacht gesagt, der Nerv gereizt wird und
es zu einer vermehrten Durchblutung kommt. Das aber kann dazu führen, dass man
seinen Puls im Zahn spürt.
Therapie
Die mittelschweren bis
schwereren Probleme können am Besten, sollte keine zahnärztliche Behandlung möglich
sein, mit Voltaren (abschwellendes Präparat) behandelt werden. Es ist jedoch
darauf hin zu weisen, dass Magen-Darm-Probleme bei empfindlichen Patienten
auftreten können. Es wird daher angeraten, generell vor der Einnahme Nexium
oder artverwandte Präparate ein zu nehmen.
Tritt die Situation "stärker schmerzhaft/akut druckempfindlich - Aufbiss tut weh"
ein und ist der Zahn nicht mehr vital, das heißt, er zeigt keine Reaktion auf
kalt oder dass Kälte sogar eine Erleichterung bringt, sollte eine Abszedierung
(Eiteransammlung) nicht auszuschließen sein. In Anbetracht dessen, das eine zahnärztliche
Behandlung erst viel später erfolgen kann, sollte zu Voltaren noch ein
Antibiotikum eingenommen werden und da die Hoffnung ja bekanntlich erst am
Schluss stirbt - der Schmerz bis zur Behandlung ausbleibt. Tritt Eiter aus, ist
ein Antibiotikum unerlässlich.
Hier ein paar Beispiele, was an
Bord passieren könnte:
Im rechten Unterkiefer
liegt eine deutliche Schwellung, die durch eine Eiteransammlung in diesem Gebiet zustande kommt, ausgehend von dem Wurzelrest. Hier ist eine Inzision(Schnitt) im Notfall auch von einem angeleiteten Laien in Lokalanästhesie möglich.
Hier liegt dieselbe Situation im Oberkiefer vor, die auf ähnliche Weise anzugehen ist, wie
im oberen Bild.
Ein
Unfall: Zwei Verletzungen der Weichteile mit Zahntrauma. Eine solche Wunde sollte auf jeden Fall wenigstens durch Situationsnähte so versorgt werden, dass die Wundränder adaptiert sind. Sollten die Zähne frakturiert sein, müssten sie evtl. entfernt werden. Die Wundränder sind sowohl von außen wie von innen zu adaptieren. Dies kann leicht in Lokalanästhesie (leichte Technik) geschehen.
Erste
Hilfe und geeignete Instrumente
Einfache chirurgische Therapien
werde ich bei Bobby Schenk's Blauwasserseminar 2007 auf der Hamburger Bootsmesse vorstellen, und gegebenenfalls ein
Notfallseminar mit Erlernen von einfachen Techniken, Wundversorgung, Injektionen
und Abszesseröffnung durchführen.
Ich wünsche eine zahnschmerzfreie Zeit und verbleibe mit besten Wünschen
Ihr Dr. Walden
Anmerkung: Wenn jemand
spezielle zahnärztliche Fragen an mich hat, bin ich gerne bereit, diese zu
beantworten. Kontakt über GWSTSail@t-online.de
zur
Home-Page
Page by Bobby Schenk
E-Mail: mail@bobbyschenk.de
URL of this Page is: https://www.bobbyschenk.de/parasil/dentist.html
Impressum und Datenschutzerklärung
|